BioBrace®
Reinforced Bioinductive Implant
A versatile solution for soft tissue augmentation
The Holy Grail in Augmentation
The BioBrace® implant combines the biological healing potential of highly porous Type I collagen with the mechanical strength of PLLA microfilaments to support tendon healing. Engineered to protect repairs during the vulnerable healing phase, the BioBrace® implant promotes tissue growth, reduces stress on healing tissue, and supports the body's natural healing processes.
More Reasons to Use BioBrace®
Robust Suture Compatibility & Handling Characteristics
Designed for open or arthroscopic procedures
Rapidly absorbs 300% of its weight in blood or other fluids1,2
Off-the-shelf convenience
No freezers required
70 Different Procedures and Counting
RoHI (Rotator Cuff Healing Index)
Since numerous factors impact the risk of failure in tendon healing, the RoHI scoring index was created to help predict rotator cuff healing.

Bioinductive Healing: 180% Increase in Rotator Cuff Tendon Thickness
The BioBrace® Implant's Porous Structure
Rapid Cellular Infiltration: The highly porous scaffold provides the ideal environment for cell infiltration and proliferation to form new, functional tissue.
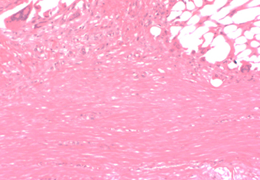
The BioBrace® Implant Filled With New Tissue
Oriented New Tissue Generation: The advanced 3D structure of BioBrace® provides internal channels that naturally guide alignment of new fibers.
Tissue
1 K203267 – 510(k) Clearance Letter - The BioBrace® Implant
2 Based on preclinical animal data
3 Based on internal test data
Documents and Specifications
BioBrace® Implant, 40mm x 60mm
BioBrace® Implant, 23mm x 30mm
BioBrace® Implant, 5mm x 250mm
Experience the Difference